Создан прототип искусственного костного мозга
Ткань костного мозга – пожалуй, наиболее важный и активный компонент человеческого организма, который регулирует поток крови и выброс многомиллиардного количества клет...
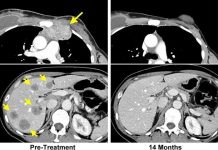
Разработан новый тип противораковой иммунотерапии
Сегодня специалистами из США был представлен новый тип тестовой противораковой иммунотерапии, результаты которой замечательно сказались на нескольких пациентах ранее –...
Carpii — четырехколесный велосипед уникальной конструкции
Мобильная транспортная техника специализированного типа никогда не перестает удивлять потенциальных пользователей новыми уникальными формами – вот и румынская тех-комп...
Apple представит сверхмощный MacBook Pro нового поколения
Вскоре пользователям и поклонникам компании Apple представится замечательная возможность самолично убедиться в текущих направлениях и планах работы компании – близится...
Xbox One обзаведется двумя новыми голосовыми помощниками
В последнее время пользователи могли наблюдать значительное засилье умных виртуальных помощников на всех уровнях технологического рынка – не так давно разработанный Am...
Microsoft собирается приобрести GitHub
Судя по всему, слухи и сведения вокруг недавней сделки между компаниями Microsoft и GitHub являются действительно правдивыми – ранее Microsoft не раз заявляла о своем ...
OnePlus 6 будет доступен в необыкновенном белом цвете
Скорость, с которой выходят новые сведения и детали о некоторых мобильных устройствах не может не радовать, особенно тех пользователей, которые действительно активно с...
Оксид графена в качестве агента по впитываю влаги: новое исследование
Кремниевый гель является наиболее распространенным химическим агентом для обеспечения сухого пространства во многих вещах, в особенности в обуви, куда он подкладываетс...
Исследована польза одного из важнейших компонентов зеленого чая
То, что зеленый чай является крайне полезным продуктом для здоровья, не является секретом для большинства людей – однако некоторые его компоненты таят в себе действите...
Представлен новый метод формирования зубной эмали
Команда исследователей из Университета Королевы Марии в Лондоне сегодня представили свою новую работу, посвященную исследованию нового способа роста эмали на зубах – и...

















