Билеты на концерты любимого исполнителя!
Приобрести билеты на какой бы то ни было концерт в Киеве можно достаточно быстро и по хорошей цене, если знать, к каким...
Результативные методы и технологии при повреждениях мениска
Мениск располагается между суставами большеберцовой и бедренной кости. Задача мениска - пропорционально разделять нагруз...
Какие душевые кабины лучше
Чтобы ответить на вопрос, какие душевые кабины все-таки лучше, необходимо ознакомиться с тем ассортиментом сантехническо...
SMS-рассылка: удобный инструмент для маркетинга
Приходилось ли вам получать на свой телефон рекламные SMS от незнакомых людей или компаний? Тогда вы знаете, как сильно ...
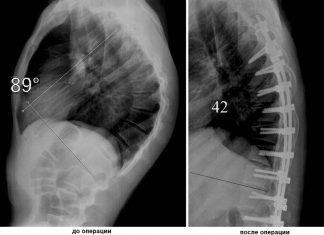
Болезнь Шейермана-Мау: концепция лечения
Дорзальный кифоз формируется в четырнадцать-шестнадцать лет. Распространенное заболевание характеризуется постепенным ис...
Почему постельное белье Вилюта лучше турецкого текстиля?
Почему постельное белье Вилюта лучше турецкого текстиля?
Постельные принадлежности – самый необходимый, а потому и попу...
Робот для мойки окон от лучших в своем деле!
Мойка окон может быть достаточно быстрым делом, если присмотреться к приобретению специального инструментария – мы гово...
Качественные летние халаты для женщин
Комфорт и удобство в повседневности – вот основные критерии, которые должны быть обязательно взяты на вооружение тем, к...
Детективное агентство Вам в помощь!
Если Вы хотели бы нанять настоящего профессионала-детектива для какой бы то ни было цели, всегда стоит быть крайне внима...
Светодиодные табло для улучшения рекламы
Что может быть лучше для предприятия, чем качественно и корректно поставленная оффлайн-реклама? Ведь сознание человека ...




















