Отопление в частный дом!
Чтобы обеспечить качественный и стабильный уровень обогрева частного дома, достаточно будет просто обратиться к тем про...
Как передать лицензию Autodesk на другой компьютер?
Официальная версия AutoCAD требует для своей работы лицензию. Она предоставляется при покупке продукции компании. При ус...
Особенности китайской рекламы
Китайский рынок рекламы – это самый динамичный рынок в мировой экономике. Ежегодная прибыль рекламных компаний составляе...
Как выбрать хороший чемодан?
Вряд ли кто-то будет спорить с тем фактом, что чемодан является одной из наиболее важных вещей, которые необходимы в пу...
Операции на сонных артериях
Что такое хирургия сонных артерий?
Сонные артерии расположены по обе стороны шеи. Они обеспечивают мозг кровью, б...
Применения спиртов в медицине
Сегодня спирты используют в различных сферах общества. Достаточно распространен он в медицине, но на этом его свойства н...
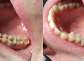
Для чего нужны временные пломбы на детские зубы?
Некоторые родители в Украине считают, что лечение молочных зубов у детей – задача не обязательная. Аргументация здесь од...
Украшения ручной работы
Дизайнерские украшения – это не просто красивая деталь гардероба, а яркая возможность выразить собственную
индивидуа...
Как выбрать зубной ершик?
Зачастую такие распространенные заболевания, как пародонтоз, кариес и кровоточивость десен возникают по причине развития...
Оружейный сейф своими руками: чертежи
Законодательством регламентируется условия хранения оружия в доме. Требования достаточно жесткие, но они необходимы для ...




















