Новое исследование связало секс и внезапную остановку сердца
Согласно результатам нового неожиданного исследования, сексуальная активность вряд ли может привести к внезапной останов...
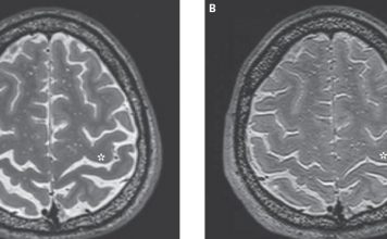
Проект WAYBACK может вернуть память людям с болезнью Альцгеймера
Виртуальная реальность — это перспективное достижение не только в индустрии развлечений, но и в медицине. Виртуальная ре...
Ученые из Штутгарта создали самую маленькую систему камер
Современная медицина испытывает очень большую потребность в технологиях, способных показать что происходит внутри пациен...
Спрей Spravato на основе кетамина одобрен FDA США
В мире современных медицинских препаратов и медицины в целом, мало какие из них обладают действительно многоуровневым и...
Ученые разработали новый метод классификации клеток мозга
Нейрофизиологи обнаружили новый способ классифицировать нейроны на молекулярном уровне. Это поможет ученым составить "ка...
Глубоко религиозные люди и атеисты меньше боятся смерти
Бенджамин Франклин однажды написал, что "в этом мире, ни о чем нельзя сказать определенно, кроме смерти и налогов". Этот...
Микродозы ТГК-компонента могут эффективно справляться с хроническими болями
Микродозирование представляет собой действительно распространенный подход к управлению очень малыми частями и дозами по...
Ученые создали капсулы, измеряющие уровень желудочных газов
Последовательно, шаг за шагом, специалисты в области биологии стремятся ответить на множество интересных вопросов относ...
В Индии дроны будут доставлять органы
Для некоторых людей, нуждающихся в трансплантации органов, каждая секунда может быть на счету – и чтобы спасать жизни бо...
Создан улучшенный медицинский гидрогель
Гидрогели – достаточно приоритетное направление в исследованиях, будь то в медицине или в общей научной практике. Изнач...




















