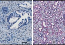
Воздействие на одну-единственную молекулу может решить проблему рака простаты
В распространении рака простаты участвует одна определенная молекула, которая критически важна для этого процесса. Названная учёными SRPK1, это образование позволяет оп...
Woojer — нательный низкочастотный усилитель
В это время в прошлом году компания Woojer запускала программу для сбора средств на главном краудфандинговом ресурсе, чтобы реализовать свой новый проект. Вместо того, ...
Ультраэкологичный комплекс в Каире станет центром энергетических технологий
Масса новых зданий сейчас создается с технологиями, чтобы помочь минимизировать влияние на природу. Немногие, тем не менее, делают так до такой степени, как в Каире (Ег...
Технология Fujitsu позволяет освещенным светодиодами объектам передавать информацию
В настоящее время, если Вы хотите узнать больше об элементе, выведенном на экран перед Вами, один из наиболее распространенных методов выполнения этого включает сканиро...
Шотландия производит достаточно энергии ветра для обеспечения жилых домов
Шотландия упорно и настойчиво продвигается на пути к достижению энергетической независимости с помощью природосберегающей возобновляемой энергии. Всему голова первый за...
Велосипедная дорожка Glow-in-the-dark открывается в Нидерландах (видео)
Вслед за открытием светящегося в темноте шоссе для автомобилей в Голландии задумались над улучшением дорожных условий в тёмное время и для других участников движения. Н...
Видеоигра дает солдатам лучшие навыки для работы с собаками-сапёрами (видео)
В течение многих веков собаки служили во множестве ипостасей бок-о-бок с людьми, включая верного компаньона и искателя различных взрывчатых веществ. Последняя функция, ...
Шоппинг становится похожим на игру с использованием Future Hunter-Gatherer (видео)
Новые шесть финалистов Electrolux Design-Lab 2014 года, конечно, подбросили некоторые привлекательные идеи. Соревнование этого года поставило перед конкурсантами задачу...
QR-коды могли бы генерировать 3D-изображения без подключения к Интернету
Находятся ли они на упаковке продукта, рекламных материалах или в журнале, большинство QR-кодов делает одну и ту же вещь – когда смартфон сканирует их своей камерой, он...
Датчик BSXinsight сообщает спортсменам о пределе нагрузки
Не важно, на тренировке в зале, на тренировочных сборах перед турниром или непосредственно во время принятием участия на соревнованиях, спортсмены должны сохранить тако...

















