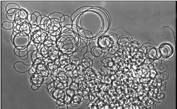
Ученые оснастили бактерий пропеллерами для лучшей доставки лекарств
Ученые нашли способ создать микромоторы для бактерий. Новая разработка будет очень полезна в медицине, так как они позво...
В прошлом году зафиксирован максимальный рост уровня СО2 в атмосфере
По данным Всемирной метеорологической организации (ВМО), концентрация углекислого газа в атмосфере Земли достигла рекорд...
Ученые обнаружили на дне океана таинственный фиолетовый шар
Ученые с исследовательского судна "Наутилус" наткнулись на нечто весьма примечательное на дне океана на этой неделе. Раб...
Ученые нашли способ безопасно и быстро добывать псилоцибин
С учетом того, что псилоцибин становится все более и более популярным химическим веществом для применения в различных м...
Риск сердечного приступа можно предупредить в детстве
На современном этапе развития диагностической медицины диагностика потенциального риска возникновения сердечного присту...
Ученые нашли причину анорексии в наших генах
Изучив ДНК более 3000 людей, ученые пришли к выводу, что расстройства пищевого поведения могут быть вызваны мутациями, к...
Создана обложка-зарядка для электронных книг
Немало людей получают удовольствие от чтения книг на свежем воздухе, однако, у современных книголюбов есть серьезная про...
Манипулятор протеза сделает жизнедеятеность еще проще
С помощью объединения Nintendo Power Glove с 3D-printed parts, 17-летний Easton LaChappelle разработал невероятный робот...
Датчик Polaris-H отображает радиацию в реальном времени (фоторепортаж)
Каждый человек хотя бы раз видел в действии счетчик Гейгера. Этот незатейливый прибор способен отобразить места, где рад...
Депрессия во время родов может изменить психическое развитие ребенка
Достаточно большое количество исследований относительно различных факторов беременности и их влияния на ребенка после р...
























